-
목차
반응형안녕하세요. 오늘은 임신 6주부터 입체 초음파를 보는 12주 증상과 이 증상 중 하나였던 질염으로 고생한 이야기를 들려드리려고 합니다. 임신 극초기를 지나, 임신 7주와 8주차, 그리고 12주차에 병원을 총 3번 방문해서 임신 초기에 아기가 잘 있는지 확인하는 시기였습니다. 많은 분들이 궁금해하시는 임신 6주부터 12주의 증상과 12주에 실시되는 1차 기형아 검사 그리고 성별 확인에 관해 알려드리겠습니다.

1차-기형아검사 1. 임신 6~7주차 증상
임신 6~7주차 증상으로는 '두통, 골반통, 아랫배 통증'이 두드러지게 나타났습니다. 이 때가 9월 말이어서 날씨가 더웠는데 에어컨 바람을 쐬면 두통이 너무 심해져서 반드시 창문으로 환기시켜주는 것이 필요했습니다. 특히, 아울렛이나 백화점같이 여러 사람들이 모여있는 밀폐된 공간에서는 식은땀이나고 속이 안좋아지는 증상으로 인해 구역질이 심하게 했던 기억도 있네요.

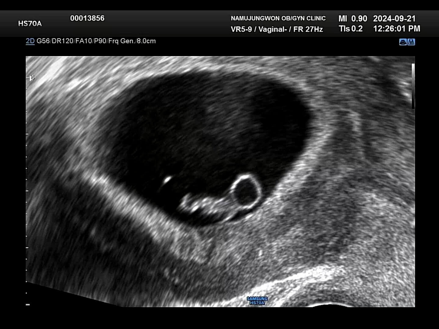
7주차-초음파 그래도 병원에 가서 아기 모습을 보니 너무 신기하고 귀여웠어요. 7주차되는 날 사진인데, 저 동그랗게 보이는게 난황이고 옆에 보이는게 배아라고 하시더라구요. 배아는 난황에 있는 영양분을 섭취하면서 무럭무럭 자라난다고 합니다!

7주-심장박동 7주차 우리 꾸미는 심장박동 143bpm으로 정상범위로 아주 잘 자라고 있었어요. 임신 초기에는 워낙 불안정한 시기이기 때문에 뱃속에 아기가 잘 있는지를 보통 '임신 증상'으로 확인을 하곤 했습니다. 컨디션이 너무 안좋아서 '아, 우리 꾸미가 뱃속에 잘 있구나!' 라고 생각했어요.
2. 임신 8~9주차 증상
임신 8주, 9주 증상으로는 이 전 주수와 동일하게 컨디션 난조가 계속되었습니다. 공복을 견디기가 너무 힘들어서 아침에 일찍일어나서 배를 채웠습니다. 저는 '먹덧'으로 왔던 것 같습니다. 그리고 저녁에도 밥을 일찍 먹는 날이면 잠들기 전까지 배가 고파질 때가 많아서 간식거리를 종종 먹는 바람에 임신 9주차 만에 5kg가 쪘어요.

8주차-초음파사진 8주에서 9주 정도에는 초음파 사진을 보시면 아시겠지만, 손과 발이 나와서 마치 하리보 젤리의 젤리곰 같은 배아를 보실 수 있습니다. 거의 1~2주일만에 이렇게 큰 모습을 보니까 너무너무 귀여웠습니다. 2주만에 본 꾸미는 젤리곰이 되어서 꿈틀꿈틀 춤을 추고 있었고, 마치 짧고 귀여운 팔로 '엄마, 안녕!' 하는 기분이었어요.
3. 임신 10~12주차 증상
8주차 6일에 초음파를 보고난 뒤, 임신 초기 증상으로 드디어 '질염'이 생겼습니다. 소변 보는 횟수가 급격히 이 시기에 증가하게 되면서 화장실을 자주 가게 되었어요. 이 때, 사용한 '휴지'들이 연약한 질 외부에 계속 마찰을 주게 되면서 계속적인 습한 환경과 마찰로 인해 질염이 나타났습니다.
너무 가려워서 잠을 못 잘 지경에 이르자, 저는 12주차에 1차 기형아검사하러 오라는 분만 병원 말고, 가까운 서브 병원에가서 질염 확인을 했어요. 그 때가 아마 11주차 정도 되었을 시기였습니다. 그래서 검사를 해보니 칸디다균이 검출되어서 '카네마졸'과 무슨 '크림'을 발랐더니 금새 나아졌어요. 혹시 질염으로 고생중인 임산부 계시면, 참지 마시고 병원이 꼭 방문하세요!
* 칸디다균은 아이에게 영향을 끼치는 해로운 균이 아니기에 치료하시면 됩니다. 하지만, 간혹 태아의 조산과 유산에 영향을 끼치는 균이 있을 수 있기에 빠른 내원 하셔야 할 것 같아요.
4. 12주 입체초음파
드디어 12주가 되어 꾸미의 첫 입체초음파를 보는 날이 되었어요! 두근두근, 꾸미는 얼마나 커있을까요?


12주-입체초음파 12주에는 첫 입체초음파를 보게 되면서 팔, 다리가 잘 형성되었는지 정도를 보는 것 같아요. 12주부터 '태아'라고 부르기도 한답니다. 우리 꾸미는 처음에는 등을 돌리고 있다가 서서히 얼굴을 보여줬습니다. 벌써부터 귀여워요! 아들인지 딸인지 너무 궁금했는데요, 성별은 입체 초음파가 아닌 일반 초음파로 봐야한다고 하셨어요.
5. 1차 기형아 검사와 성별 확인
이제 일반 초음파로 목투명대와 코뼈가 잘 형성되었는지 확인합니다. 목투명대는 이물질이 쌓이는 공간이라고 보시면 되고, 이 목투명대가 2.5~3mm 정도 이상되면 기형아 확률이 높아지기에 이때, 융모막 검사나 니프티 검사를 실시하게 됩니다.


목투명대-코뼈 꾸미 목투명대는 다행이 1mm로 통과하였고, 오른쪽 사진을 보시면 얼굴 쪽에 하얀색깔 뼈가 있는데 이게 코뼈라고 하시더라구요. 이 코뼈도 잘 형성되어 있어서 눈으로 확인해주시는 1차적인 검사는 통과했어요. 그리고 나서 피를 뽑았는데요. 12주에 1차 기형아 검사로 피를 뽑고, 16주쯤에 2차 기형아 검사로 피를 또 뽑는데, 이 두 시기에 뽑은 피를 검사해서 최종적으로 기형아 검사 '저위험군'인지 '고위험군'인지 확인이 됩니다. 꾸미는 목투명대와 코뼈가 잘 보여서 일반 기형아검사를 실시하였습니다.
아, 그리고 성별은 원장님께서 80% '블루'라고 보시면 될 것 같아요. 라고 말씀해주셨는데 과연 반전이 일어날까요?
반응형오늘은 임신 6주부터 12주차까지의 증상과 12주에 봤던 입체 초음파, 그리고 이 시기에 실시되는 1차 기형아 검사 그리고 성별 확인에 대해 알아보았습니다. 임신 초기를 생각하면 아직도 컨디션이 안좋았던 기억이 있습니다. 그래도 이 시기를 잘 극복하여 건강한 아이를 만나볼 수 있길 희망합니다! 다음 포스팅에서는 기형아 검사의 종류인 융모막 검사, 양수 검사, 일반 선별 검사, 니프티(맘스캐닝) 검사에 대해 알려드리겠습니다.
반응형'임신 이야기' 카테고리의 다른 글
[임신 중기] 집에서 양수 새는지 확인하는 방법, 분비물과 차이점 총정리 (3) 2025.01.16 2025년 친정엄마 산후도우미 지원금 총정리(조건, 자격증 발급 방법, 금액) (6) 2025.01.07 [1차 기형아 검사] 취약 X증후군, 통합선별검사, 융모막 검사, 양수 검사, 니프티 차이점, 비용 알아보기 (4) 2024.12.26 [임신 극초기 증상] 임신 3주 4주 5주 증상, 임테기 역전, 아기집 시기, 쓰리라인 임테기 사용 후기 (6) 2024.10.23 [임신 준비] 보건소 지원 받아 산전검사 후기(비용, 신청 및 청구 방법) (5) 2024.08.27